Analytical Schottky Field Emission Scanning Electron Microscope (FESEM)
CIQTEK SEM4000Pro is an analytical FE-SEM model equipped with a high-brightness and long-life Schottky field emission electron gun. Its three-stage electromagnetic lens design offers significant advantages in analytical applications such as EDS / EDX, EBSD, WDS, and more. The model comes standard with a low-vacuum mode and a high-performance low-vacuum secondary electron detector, as well as a retractable backscattered electron detector, which benefits the observation of poorly conductive or non-conductive specimens.
Contact our U.S. team: info.usa@ciqtek.com

Under low-vacuum mode, a range of 10-180 Pa can be reached without a pressure-limiting aperture. The specially designed objective lens vacuum chamber minimizes the electron mean free path in low vacuum conditions and achieves a resolution of 1.5 nm at 30 kV under low vacuum mode.
The secondary electron emission from the specimen surface ionizes air molecules and simultaneously generates electrons, ions, and photons. The generated electrons further ionize other air molecules, low-vacuum secondary electron detector (LVD) captures a large amount of photon signals produced in such a process.
The incident electron beam ionizes air molecules on the specimen surface, generating electrons and ions. These ions neutralize the surface's charging, thus reducing the charging effect.

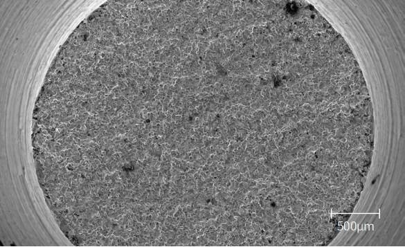
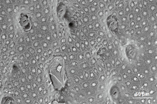
The CIQTEK SEM Microscope software employs various target detection and segmentation algorithms, suitable for different types of particle and pore samples. it enables quantitative analysis of particle and pore statistics and can be applied in fields such as materials science, geology, and environmental science.

Perform online or offline image post-processing on images captured by electron microscopes and integrate commonly used EM image processing functions, convenient measurement, and annotation tools.

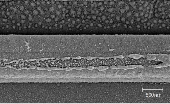
Automatic recognition of line width edges, resulting in more accurate measurements and higher consistency. Support multiple edge detection modes, such as Line, Space, Pitch, etc. Compatible with multiple image formats and equipped with various commonly used image post-processing functions. The software is easy to use, efficient, and accurate.

Provide a set of interfaces for controlling the SEM microscope, including image acquisition, operating condition settings, power on/off, stage control, etc. Concise interface definitions allow for the rapid development of specific electron microscope operation scripts and software, enabling automated tracking of regions of interest, industrial automation data acquisition, image drift correction, and other functions. Can be used for software development in specialized areas such as diatom analysis, steel impurity inspection, cleanliness analysis, raw material control, etc.

| CIQTEK SEM4000Pro FESEM Microscope Specifications | |||
| Electron Optics | Resolution | High Vacuum |
0.9 nm @ 30 kV, SE |
| Low Vacuum |
2.5 nm @ 30 kV, BSE, 30 Pa 1.5 nm @ 30 kV, SE, 30 Pa |
||
| Acceleration Voltage | 0.2 kV ~ 30 kV | ||
| Magnification (Polaroid) | 1 ~ 1,000,000 x | ||
| Electron Gun Type | Schottky Field Emission Electron Gun | ||
| Specimen Chamber | Low Vacuum | Max 180 Pa | |
| Camera | Dual Cameras (Optical navigation + chamber monitoring) | ||
| XY Range | 110 mm | ||
| Z Range | 65 mm | ||
| T Range | -10° ~ +70° | ||
| R Range | 360° | ||
| SEM Detectors and Extensions | Standard |
Everhart-Thornley Detector (ETD) Low Vacuum Detector (LVD) Backscattered Electron Detector (BSED) |
|
| Optional |
Retractable Scanning Transmission Electron Microscopy Detector (STEM) Energy Dispersive Spectrometer (EDS / EDX) Electron Backscatter Diffraction Pattern (EBSD) Specimen Exchange Loadlock (4 inch / 8 inch) Trackball & Knob Control Panel |
||
| User Interface | Language | English | |
| OS | Windows | ||
| Navigation | Optical navigation, Gesture quick navigation, Trackball (optional) | ||
| Automatic Functions | Auto Brightness & Contrast, Auto Focus, Auto Stigmator | ||