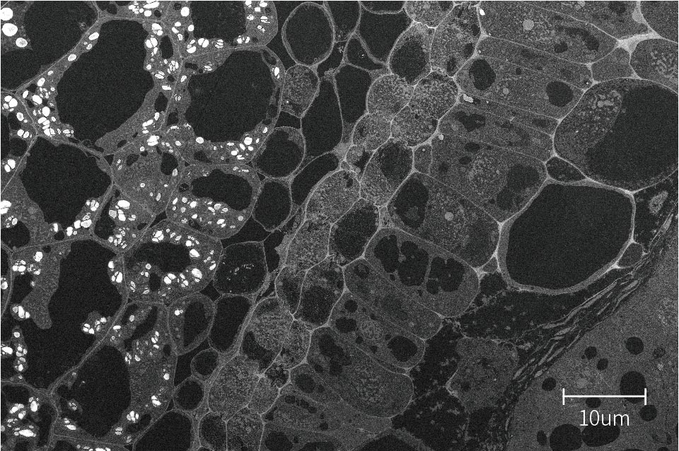
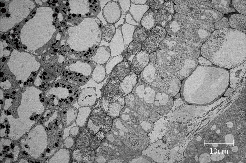
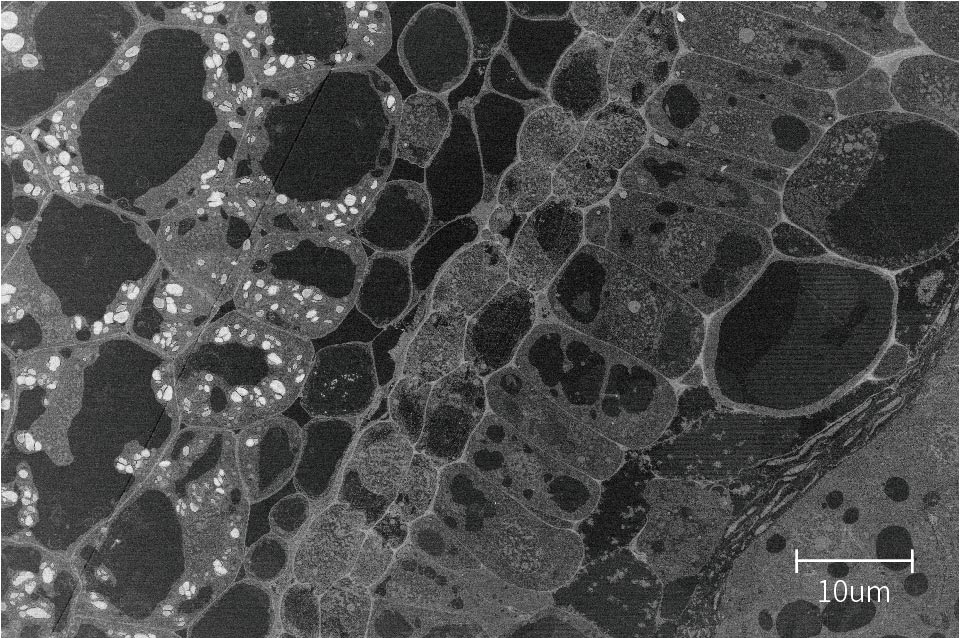
CIQTEK SEM5000 is a field emission scanning electron microscope(FESEM) with high-resolution imaging and analysis ability, supported by abundant functions, benefits from advanced electron optics column design, with high-pressure electron beam tunnel technology (SuperTunnel), low aberration, and non-immersion objective lens, achieves low voltage high-resolution imaging, the magnetic specimen can also be analyzed.
With optical navigation, automated functionalities, carefully designed human-computer interaction user interface, and optimized operation and use process, no matter if you are an expert or not, you can quickly get started and complete high-resolution imaging and analysis work.
High-brightness Schottky Field Emission Electron Gun
1 ~ 2,500,000 x
0.02 ~ 30 kV
Five-axis automatic
• High-resolution imaging at low accelerating voltage.
• Electromagnetic composite objective improves low-voltage resolution and enables magnetic specimen observation.
• High-pressure tunneling technology (SuperTunnel) ensures low voltage resolution.
• The electronic optical path without crossover effectively reduces system aberration and improves resolution.
• Water-cooled constant temperature objective lens, to ensure the stability, reliability, and repeatability of the objective lens work.
• Magnetic deflected six-hole various aperture system, with automatic switchable apertures, no mechanical adjustment needed, achieves high-resolution imaging or large beam analysis mode through a click-away fast switching.

| Key Parameters | Resolution |
0.9 nm @ 15 kV, SE 1.3 nm @ 1.0 kV, SE 0.8 nm @ 30 kV, STEM |
| Acceleration Voltage | 0.02 ~ 30 kV | |
| Magnification | 1 ~ 2,500,000 x | |
| Electron Gun Type | High brightness Schottky Field Emission Electron Gun | |
| Specimen Chamber | Vacuum System | Fully Automatic Control, Oil-free Vacuum System |
| Camera | Dual Cameras (Optical navigation + chamber monitor) | |
| Stage Range |
X: 125 mm, Y: 125 mm, Z: 50 mm T: -10°~ +90°, R: 360° (*Optional extra-large chamber version available) |
|
| Detectors and Extensions | Standard |
Inlens SE Detector Everhart-Thornley Detector (ETD) |
| Optional |
Flat Insertion Medium Angle Backscattered Electron Detector STEM Automatic Retractable Scanning Transmission Electron Detector Specimen Exchange Loadlock Fast Beam Blanker Energy Dispersive Spectroscopy (EDS/EDX) Electron Backscatter Diffraction Pattern (EBSD) Electron-beam-induced Current (EBIC) Cathodoluminescence (CL) In situ Tensile Stage Nano Manipulator Large-scale Image Stitching Trackball & Knob Control Panel |
|
| Software | Language | English |
| Operating System | Windows | |
| Navigation | Nav-Cam, Gesture Navigation | |
| Automatic Functions | Auto Brightness & Contrast, Auto Focus, Auto Stigmator |